Calibrazione dell'immagine B-mode

La calibrazione delle immagini b-mode deve essere eseguita prima di iniziare un nuovo esame perché è necessario fornire le informazioni relative alle dimensioni dell'immagine generata dall'ecografo. Il fattore di calibrazione varia a seconda delle impostazioni dell'ecografo. La calibrazione dovrebbe essere controllata a ogni nuovo esame.

ATTENZIONE: la mancata calibrazione può generare un malfunzionamento del software.


images/download/attachments/387809307/cvs_calibrate_b_mode_image-version-1-modificationdate-1761558681525-api-v2.png

images/download/thumbnails/387809307/CVS_CAR_SetupPanel_BmodeCalib_EN-version-1-modificationdate-1761559334976-api-v2.png

  • Individuare, nell'immagine ecografica, una distanza nota (30 mm. nell'esempio in figura).

  • Nel Pannello B-Mode, selezionare dal menù a tendina la distanza specificata sopra.

  • Nella Pannello B-Mode, fare clic sul pulsante Imposta calibrazione B-Mode images/download/thumbnails/387809307/cvs_verticalCalibration_button-version-1-modificationdate-1761558681496-api-v2.png (il pulsante rimane selezionato).

  • Tracciare una linea sull'immagine corrispondente alla distanza nota: cliccare su un'estremità e trascinare il mouse all'altra estremità (premere il tasto Shift o Ctrl+Shift sulla tastiera se si desidera che la linea non sia verticale o orizzontale)


Per i file DICOM, quando presente, la calibrazione B-mode è ottenuta automaticamente dai metadati del file (vedere Impostazioni). È comunque possibile modificare il valore di calibrazione.

E' possibile inserire direttamente il valore di calibrazione nell'apposito campo del Pannello B-Mode (se si conosce già il valore).

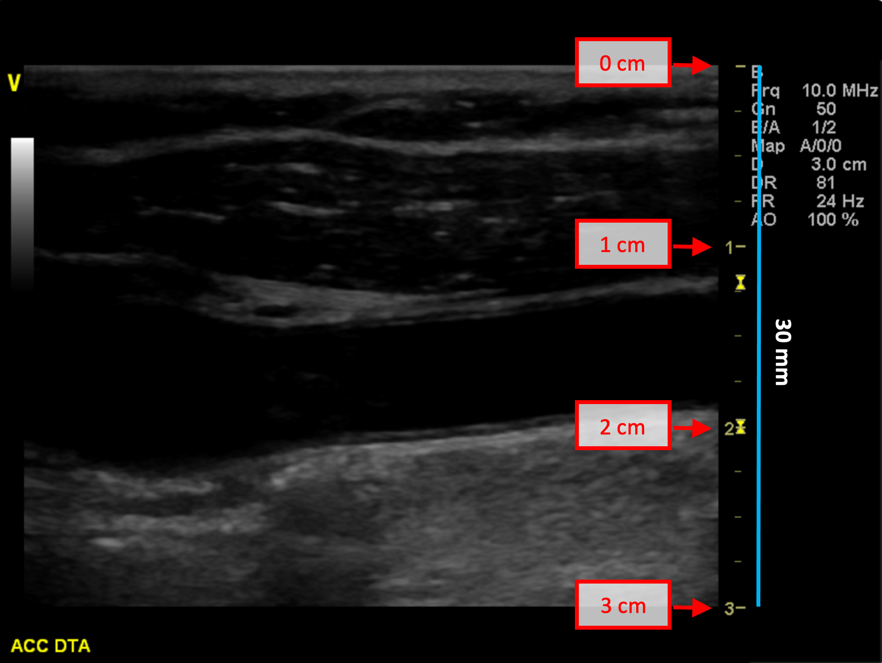
Esempi di calibrazione in modalità B

Le immagini seguenti mostrano esempi di calibrazione dell'immagine in modalità B. Gli elementi grafici in rosso indicano dove è possibile trovare informazioni sulla profondità dell'immagine nell'immagine ecografica.

images/download/attachments/387809307/CVS_CalibrarionExample1_EN-version-1-modificationdate-1761558892843-api-v2.png

images/download/attachments/387809307/CVS_CalibrarionExample2_EN-version-1-modificationdate-1761559400028-api-v2.png

images/download/attachments/387809307/CVS_CalibrarionExample3_EN-version-1-modificationdate-1761559434847-api-v2.png

images/download/attachments/387809307/CVS_CalibrarionExample4_EN-version-1-modificationdate-1761559459338-api-v2.png

images/download/attachments/387809307/CVS_CalibrarionExample5_EN-version-1-modificationdate-1761559473483-api-v2.png

images/download/attachments/387809307/CVS_CalibrarionExample6_EN-version-1-modificationdate-1761559486870-api-v2.png

images/download/attachments/387809307/CVS_CalibrarionExample7_EN-version-1-modificationdate-1761559498454-api-v2.png