Calibrage de l'image en mode B

L'étalonnage des images en mode B doit être effectué avant chaque nouvel examen afin de fournir des informations sur la taille de l'image générée par le système d'échographie. Le facteur d'étalonnage varie selon les réglages de votre appareil. Il est recommandé de vérifier l'étalonnage avant chaque nouvel examen.

ATTENTION : un défaut d'étalonnage peut entraîner un dysfonctionnement du logiciel.

images/download/attachments/387809307/cvs_calibrate_b_mode_image-version-1-modificationdate-1761558681525-api-v2.png

images/download/thumbnails/387809307/CVS_CAR_SetupPanel_BmodeCalib_EN-version-1-modificationdate-1761559334976-api-v2.png

  • Repérer, sur l'image ultrasonore, une plage de distance connue (30 mm dans l'exemple de la figure).

  • Dans le panneau de configuration, sous "Étalonnage en mode B", sélectionnez la valeur de distance dans le menu déroulant.

  • Dans le panneau de configuration, étalonnage en mode B, cliquez sur le bouton Trace the Line images/download/thumbnails/387809307/cvs_verticalCalibration_button-version-1-modificationdate-1761558681496-api-v2.png

  • Tracez une ligne sur l'image correspondant à la distance connue : cliquez à une extrémité et faites glisser la souris jusqu'à l'autre extrémité (appuyez sur la touche Maj ou CTRL Maj de votre clavier si vous souhaitez que la ligne ne soit ni verticale ni horizontale).


Pour les fichiers DICOM, lorsqu'ils sont présents, l'étalonnage en mode B est obtenu automatiquement à partir des métadonnées du fichier (voir Paramètres ). Vous pouvez toutefois modifier la valeur d'étalonnage.


Vous pouvez saisir directement la valeur d'étalonnage dans le champ Facteur d'étalonnage du panneau de configuration du mode B si vous la connaissez déjà.

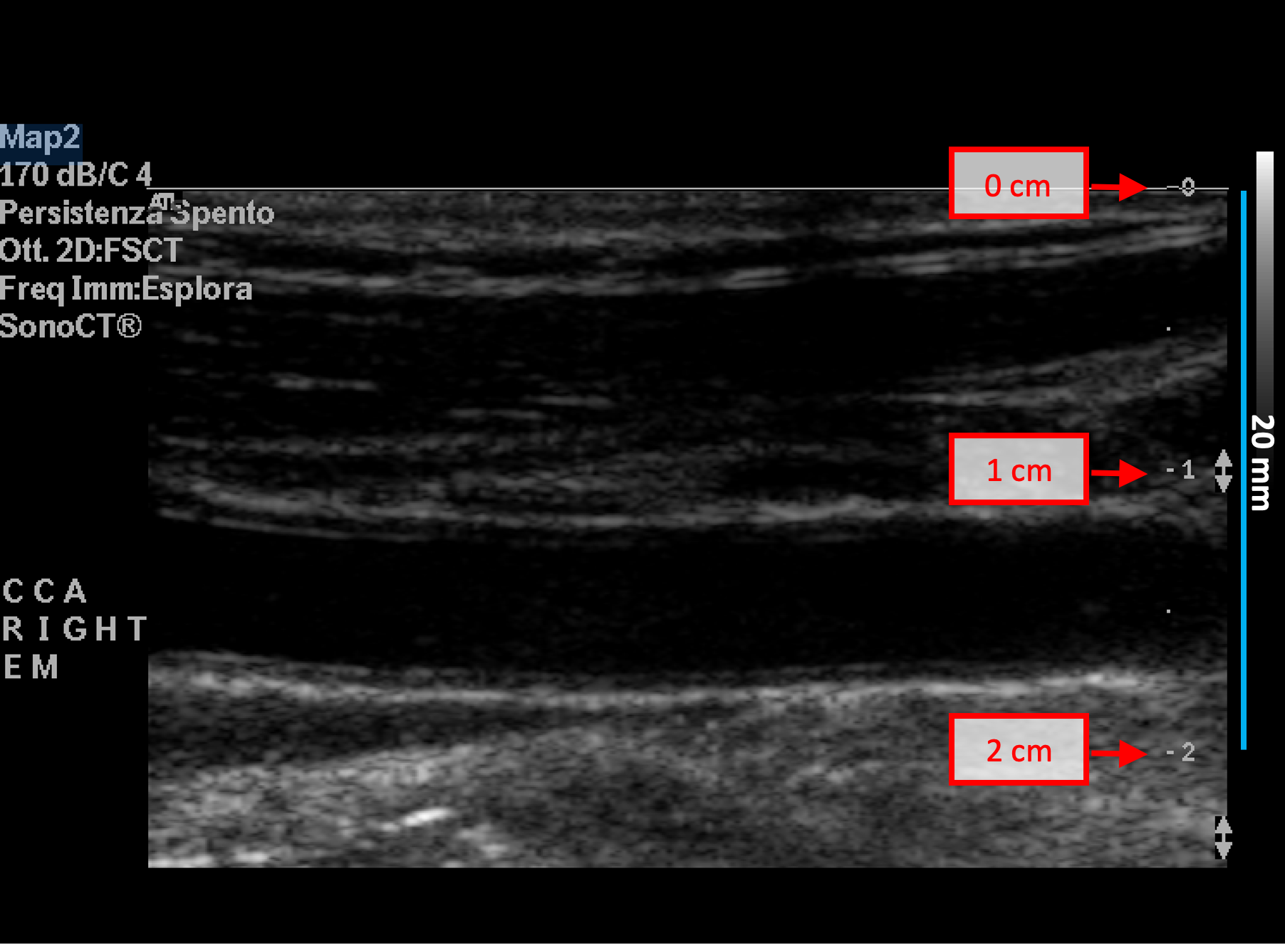
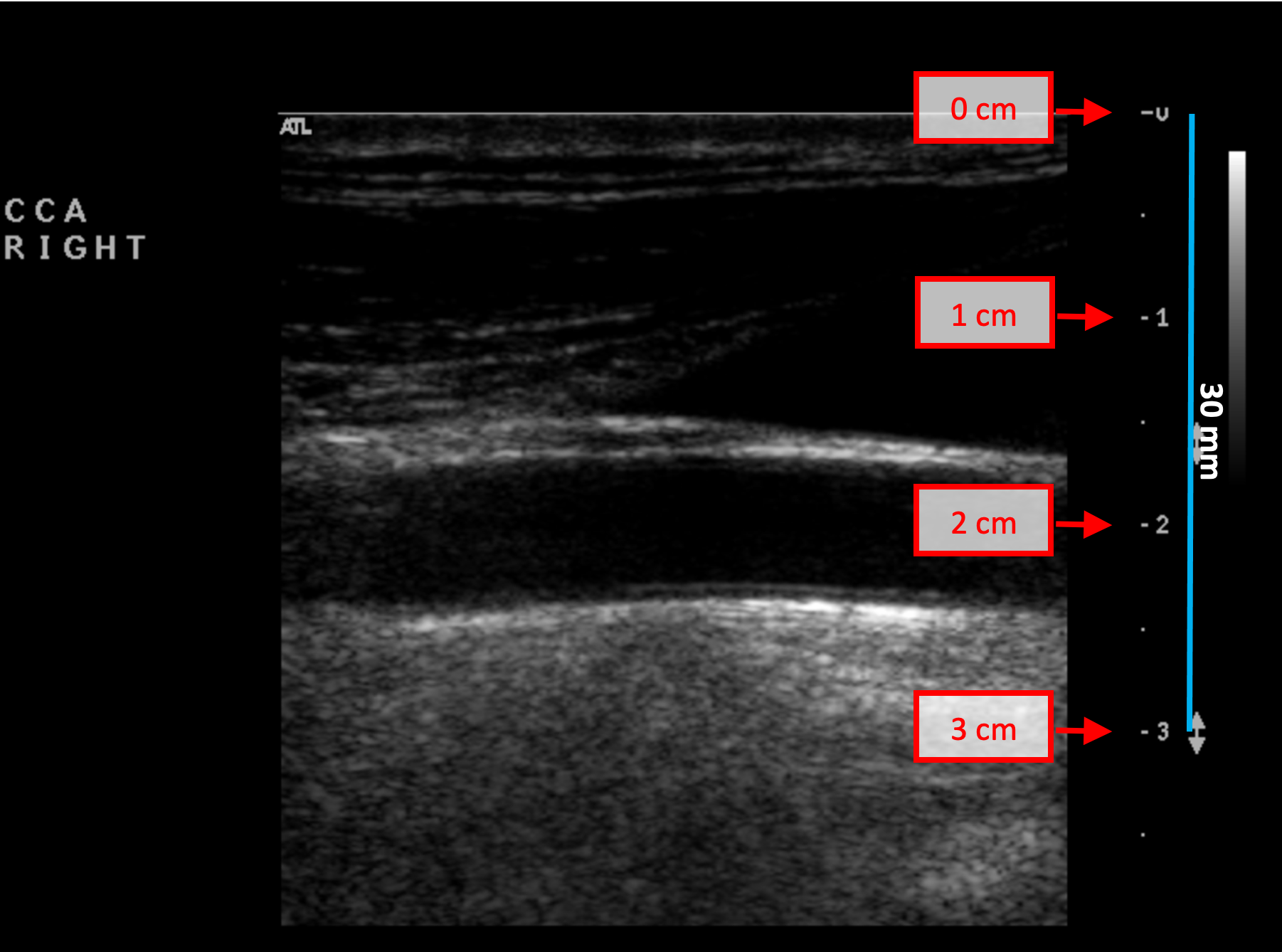
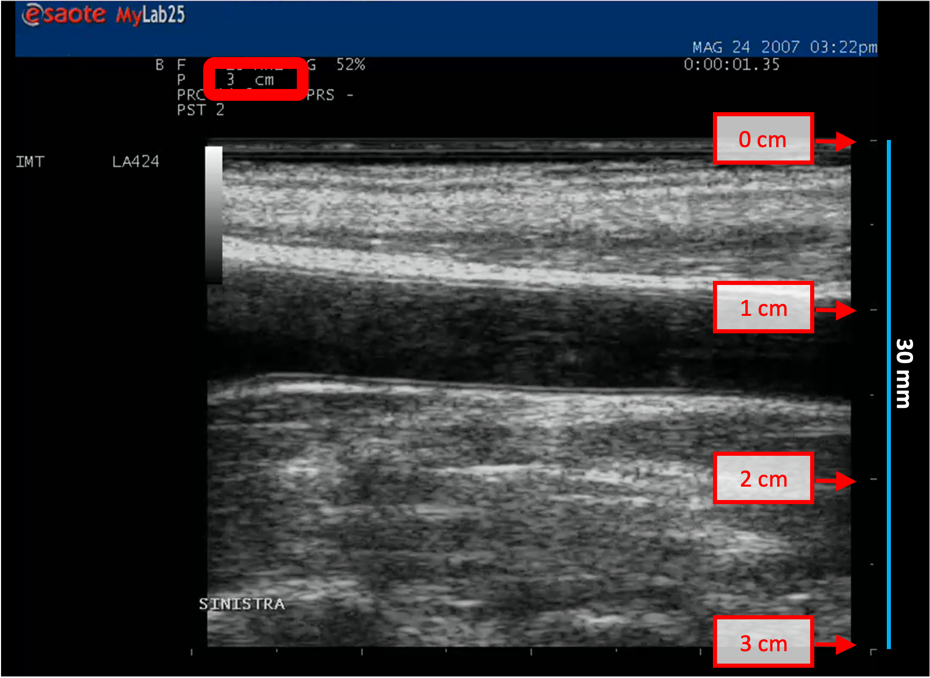
Exemples d'étalonnage en mode B

Les images suivantes présentent des exemples d'étalonnage de l'image en mode B. Les éléments graphiques en rouge indiquent où trouver les informations relatives à la profondeur de l'image échographique.


images/download/attachments/387809307/CVS_CalibrarionExample1_EN-version-1-modificationdate-1761558892843-api-v2.png


images/download/attachments/387809307/CVS_CalibrarionExample2_EN-version-1-modificationdate-1761559400028-api-v2.png

images/download/attachments/387809307/CVS_CalibrarionExample3_EN-version-1-modificationdate-1761559434847-api-v2.png

images/download/attachments/387809307/CVS_CalibrarionExample4_EN-version-1-modificationdate-1761559459338-api-v2.png


images/download/attachments/387809307/CVS_CalibrarionExample5_EN-version-1-modificationdate-1761559473483-api-v2.png


images/download/attachments/387809307/CVS_CalibrarionExample6_EN-version-1-modificationdate-1761559486870-api-v2.png

images/download/attachments/387809307/CVS_CalibrarionExample7_EN-version-1-modificationdate-1761559498454-api-v2.png